血管造影 撮影例

肝臓(肝動脈)

肝動脈

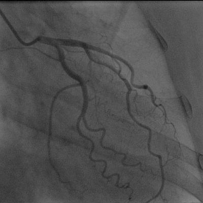
心臓(左冠動脈)

左冠動脈

骨盤部(総腸骨動脈)

総腸骨動脈